春节坚守,护佑安康;高龄手术,再获突破。近日,西安交通大学第一附属医院榆林医院骨科医院成功为一名90岁高龄患者实施了榆林市首例“股骨头置换术后14年股骨假体周围Ⅳ型骨折人工髋关节翻修骨折内固定术”。这一高难度手术的成功开展,不仅为患者解除了病痛、保障了其晚年生活质量,也为复杂髋关节翻修手术积累了宝贵经验。

该患者在14年前因股骨颈骨折,在我院接受了人工股骨头置换术,此次因外伤导致假体周围Ⅳ型骨折再次入院。患者属于超高龄人群,加之此类骨折在临床上较为罕见,手术难度及围手术期风险极为突出。骨科医院副院长李宏伟带领团队高度重视,迅速完成各项术前检查与准备,并联合医务部,组织呼吸与危重症医学科、重症医学科、心血管内科、麻醉手术科等多学科专家进行会诊。经深入讨论,专家团队为患者制定了周密、个性化的手术方案。


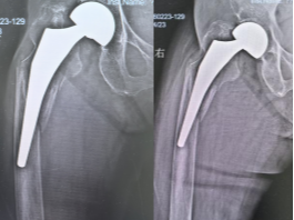
患者术前 X 线片 患者术后X线片
在多学科专家的紧密协作下,手术团队顺利为患者完成手术。术后,骨科三病区护士长杨洁带领护理团队实施精细化护理,高磊副主任医师、拓一帆主治医师、周鑫住院医师共同负责精准治疗与病情管理,患者恢复平稳,各项指标持续好转,最终康复出院。此次成功救治,充分彰显了医院在复杂髋关节翻修领域的技术实力与多学科协同作战的综合能力。
这台手术的成功,为90岁高龄患者解除了病痛、保住了晚年生活质量,彰显了交大一附院榆林医院骨科医院在复杂髋关节翻修领域的技术实力和多学科协作的综合能力。
这份坚守与专业,正是春节期间医护人员护航生命健康的缩影。春节假期刚过,面对迅速攀升的诊疗需求,骨科医院无缝切换至“高峰应对”模式,通过统筹门诊资源,全员在岗,确保患者及时就医。节后复工首周,骨科医院住院手术量较去年同期增长88.7%。其中,机器人辅助手术增长133.3%。四级手术中,膝髋关节置换手术增长125%,脊柱微创及关节镜手术增长68.7%。一系列数据背后,是团队高效协作与学科持续进步的体现。
作为国家级重点专科,交大一附院榆林医院骨科医院将以此为契机,依托国家区域医疗中心建设平台,持续强化医疗安全、优化服务流程,进一步夯实区域疑难重症诊疗中心的功能,让广大群众在“家门口”就能享受到更优质的医疗服务。