近日,交大一附院榆林医院脑科医院神经外科二病区纪文军主任团队,在交大一附院总院的支持下,成功为一名胸2-3水平脊膜瘤患者实施椎管内肿瘤切除术。术后患者神经功能显著改善,生命得到挽救,生活质量大幅提升,预后良好。
78岁的李大妈(化名)于2个月前出现双下肢麻木无力、感觉减退和行走不稳,双侧自乳头平面以下感觉明显下降,左下肢痛觉与温度觉完全丧失。患者曾辗转多家医院,检查提示胸段椎管内占位。但因肿瘤体积大、与脊髓粘连严重,加上患者高龄、心肺功能欠佳,手术极易导致截瘫,此前多家医院均未予手术。最终,患者前往交大一附院榆林医院就诊。脑科医院神经外科二病区纪文军主任医师迅速组织多学科团队进行细致评估,在与家属深入沟通病情与风险后,决定为患者实施胸段椎管内肿瘤切除术。

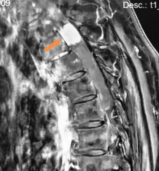
术前胸椎MRI增强检查
术中,在交大一附院廉海平教授全程精准的神经电生理监测护航下,由王宁教授主刀,联合纪文军主任医师团队紧密配合、协同操作。电生理监测实时反馈脊髓功能状态,引导团队在狭小空间内细致分离肿瘤与脊髓粘连。历经约3小时的精细操作,肿瘤被完整剥离切除,脊髓结构与功能均得到完好保护。术后患者未出现新的神经功能缺损,病理检查证实为脊膜瘤,标志着手术取得圆满成功。在神经外科二病区团队的精心治疗与护理下,患者双下肢肌力显著恢复,可下床稳步行走,麻木感明显减轻,深感觉及温度觉亦较前好转。目前患者已顺利出院,生活质量得到显著改善。

术后胸椎MRI增强检查
此次高难度手术的成功实施,不仅凸显了交大一附院榆林医院作为国家区域医疗中心的技术引领作用,也体现了多学科协作与术中精准监测在复杂脊髓手术中的关键价值。纪文军主任团队凭借精湛技术与高度责任感,为高龄高危患者赢得了手术机会,显著改善了其生活质量。未来,医院将继续依托国家区域医疗中心的平台与资源优势,推动区域神经外科诊疗水平持续提升,让更多复杂疑难患者在“家门口”享受到优质医疗服务。
小科普
脊膜瘤占椎管内肿瘤的10%-30%,好发于胸段,其次为颈段,腰骶段少见,多见于中年女性。在椎管内局限性生长,瘤体一般不大,多呈扁圆形或椭圆形,肿瘤有完整包膜,与硬脊膜紧密附着,有较宽的基底。脊膜瘤大都位于髓外硬脊膜内,少数位于硬脊膜外。
脊膜瘤起源于蛛网膜,肿瘤生长自然会对软脊膜和脊髓产生压迫,从而产生相应的临床表现,多为相应部位有不适感或非持续性的轻微疼痛,伴有肢体无力或是麻木感。当然,脊膜瘤也可以压迫神经根,因此在胸段的脊膜瘤也可以出现环绕身体的神经根痛和束带感。易于出现脊髓受损的症状,甚至出现脊髓半切综合征甚至脊髓横贯性损伤:患者逐渐出现肿瘤平面以下的肢体、躯干感觉减退,运动障碍,反射消失的症状,出现硬瘫(肢体不能动但是肌肉张力高),大小便障碍、出汗异常等症状,并且往往呈现出慢性进行性加重的趋势。
MRI平扫和增强是脊膜瘤的首选诊断方法,可以帮助我们确定肿瘤的边界及其与周围脊髓等神经结构的关系,是术前评估,术后确认是否充分切除以及肿瘤是否复发的可靠手段。脊膜瘤在MRI上特征性的图像为在增强MRI上出现的“硬膜尾征”,肿瘤局部的硬脊膜增厚,呈现线样强化并与肿瘤紧密相连。(图中黄色箭头像尾巴一样的亮线条就是“硬膜尾征”)
脊膜瘤虽然大多是良性肿瘤,但病情可呈持续进展趋势,有截瘫和大小便障碍的风险,因此建议尽早手术切除。术前术中根据肿瘤大小、位置及毗邻关系来确定手术切除范围,尽可能的将肿物及其附着的硬膜一并切除,并对受压变形的脊髓组织松解,大约95%以上的病人术后神经功能得到明显改善。
专家简介

王宁,西安交通大学第一附属医院副主任医师,现任陕西省医师协会神经脊柱微创专业委员会委员,陕西省医学交流促进会神经脊柱专委会委员。在国内外高水平学术期刊发表学术论文10余篇,其中SCI收录6篇,获得国家发明专利2项,主持陕西省自然科学基金1项,获陕西省科技进步三等奖1项。
专业特长:在颅脑肿瘤,椎管肿瘤,颅脑损伤,寰枕部畸形,脊髓栓系综合症,脊柱退行性病变等神经外科疾病的手术治疗方面具有丰富的经验积累。目前专注于脊髓脊柱疾病的微创治疗。

纪文军,医学博士、主任医师、硕士研究生导师。
博士毕业于首都医科大学附属北京天坛医院,师从我国神经介入奠基人吴中学教授。目前任西安交通大学第一附属医院榆林医院院务委员、脑科医院院长、神经外科二病区主任,兼任10多家省级以上学会的委员和常委,榆林市神经介入学会主委、榆林市脑血管病质量控制中心主任。擅长脑血管病的神经介入诊疗、重型颅脑损伤与脑出血的综合救治、颅内肿瘤的微创治疗等。在区域内率先开展了颅内动脉瘤栓塞、颅内血管狭窄支架植入、颅内大血管闭塞取栓等各类神经介入手术,内镜下垂体瘤切除等神经内镜手术。目前已在Stroke,World Neurosurgery等国际神经外科与脑血管病杂志发表SCI论文15篇;在《中华神经外科杂志》、《中华医学杂志》、《中国微侵袭神经外科杂志》、《中国卒中杂志》等发表核心论文40余篇。参与国家自然科学基金及省部级基金4项,主持陕西省自然科学基金等省级基金项目3项,主持榆林市科技项目3项。获得陕西省科技进步奖2项,榆林市科技进步奖7项。参编著作3部,参译著作3部。获得榆林市青年科技奖、榆林市优秀科技工作者、榆林市有突出贡献专家、榆林市十大杰出青年、榆林市十大科技创新人物等诸多荣誉称号。

杜彦挺,西安交通大学第一附属医院榆林医院神经外科二病区副主任,主任医师,神经外科学硕士,中共党员,神经外科党支部书记。获榆林市科技进步二等奖两项,发明专利3项,发表论文10余篇,获得榆林市第二届“最美医生”称号。现任中华医学会神经外科分会委员,陕西省神经外科分会委员,榆林市微创神经外科学会秘书长等。
能熟练完成颅内肿瘤如脑胶质瘤、脑膜瘤、垂体瘤、颅咽管瘤、听神经瘤及椎管内脊髓内、外肿瘤切除术。熟练完成先天性颅脑疾病如小脑扁桃体下疝、先天性颅骨畸形、脑积水分流等手术。特别擅长重型、特重型颅脑损伤、各类脑出血及神经外科常见急危重症的抢救和手术。

张伟,副主任医师,硕士研究生;本科毕业于延安大学医学院,硕士毕业于新疆医科大学;陕西省神经外科学会委员,陕西省医学传播学会神经介入专委会委员,榆林市微创神经外科学会常务委员,榆林市卒中学会委员。2020年在北京天坛医院进修学习。擅长脑胶质瘤、脑膜瘤、垂体瘤等颅内肿瘤疾病,重症颅脑外伤、脑出血、脑血管病,脑积水等神经外科疾病的诊治,擅长经鼻及经颅神经内镜应用。在国内核心期刊发表专业文章6篇。

黄子钊,主治医师,硕士研究生;本科及硕士均毕业于重庆医科大学;榆林市微创神经外科学会常务委员,榆林市卒中学会委员。擅长颅内动脉瘤、动静脉畸形、颈动脉及颅内血管狭窄等脑血管疾病诊治,擅长重症颅脑外伤、颅内肿瘤、脑积水、脊柱疾病等神经外科疾病的诊治。
神经外科二病区简介

神经外科二病区是集医疗、科研、教学于一体的榆林市神经外科领域独具特色的优势专科,为陕西省临床重点建设专科,陕西省医师协会神经外科分会副主委单位,榆林市神经介入学会与榆林市微创神经外科学会主委单位,榆林市神经外科质量控制中心与榆林市脑血管病质量控制中心主任单位。
目前开设床位40张。拥有医师9名,其中主任医师3名、副主任医师3名、主治医师1名、住院医师2名;其中医学博士1名、医学硕士6名。省管专家1名,榆林市突出贡献专家1名。拥有国内先进的GE 复合手术室,3T核磁共振、256排螺旋CT、西门子大型平板DSA造影机、 Leica手术显微镜、STORZ神经内镜、术中神经电生理监测仪、立体定向仪等先进设备。与首都医科大学附属北京天坛医院等国内顶级神经外科中心建立了友好合作关系。经过近20年的不懈努力,亚学科建设突飞猛进,形成了以下诸方面的学科特色,已成为陕甘宁蒙晋交界区的神经外科中心。
1. 脑血管病神经介入治疗:率先在榆林市内成功开展颅内动脉瘤栓塞、脑动静脉畸形栓塞、脑动静脉瘘栓塞、脑血管狭窄支架植入、颅内外大血管病闭塞的介入开通、颅内静脉窦血栓的介入开通、颅内肿瘤的术前栓塞等各类神经介入手术,目前处于国内先进水平。
2. 颅内肿瘤微创治疗:率先在榆林市内开展了内镜下颅内肿瘤切除、脑干肿瘤切除、功能区肿瘤切除、颅底肿瘤切除等高难度手术,目前处于省内先进水平。
3.功能神经外科手术:率先在榆林市内开展三叉神经痛和面肌痉挛的微血管减压手术,目前处于省内先进水平。
4.脊柱脊髓手术:率先在榆林市内开展3D打印下脊柱手术,可独立完成环枕部畸形、椎管狭窄减压、椎管内肿瘤切除等各类脊柱脊髓手术,目前处于省内先进水平。
5. 颅脑损伤与脑出血:每年成功救治各类重型颅脑损伤与脑出血患者百余例,可完成硬膜外血肿清除、去骨瓣减压、颅内血肿清除、颅内血肿定向置管引流、颅骨修补、脑室腹腔分流等,目前处于省内先进水平。