近日,交大一附院榆林医院脑科医院神经外科二病区在纪文军主任医师的带领下,成功为一名34岁的脑血管畸形破裂出血患者王女士(化名)实施介入栓塞术。手术过程顺利,挽救了患者的生命。
王女士2年前因癫痫发作,在外院检查发现颅内存在较大畸形血管团,供血及引流血管情况复杂,因惧怕手术风险,一直未接受手术治疗。4天前,王女士突发头痛,伴有频繁恶心呕吐,无法行走,意识反应逐渐下降,随后被紧急送至我院急诊医学科。经头颅CT检查,提示脑室出血、脑肿胀、左侧颞叶稍高密度影、点状钙化灶。面对患者脑室出血、畸形血管团较大等复杂状况,手术难度极大,风险高,术中脑血管畸形破裂出血的可能性大,甚至可能危及生命。神经外科二病区纪文军主任医师团队开展深入讨论,制定了详尽的手术方案,最终与患者及家属充分沟通后决定为其行介入栓塞术。

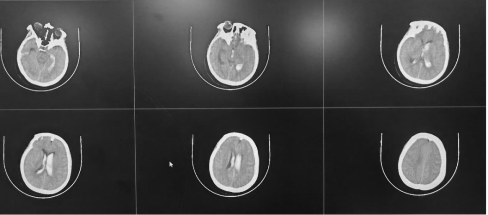
术前CT

术前DSA
术中,在纪文军主任医师、张伟副主任医师、李涛副主任医师、赵乐副主任医师及麻醉手术科团队的紧密协作下,成功对王女士脑中的动静脉畸形多支供血血管进行了栓塞。手术历时两个多小时,顺利完成。术后复查脑血管造影显示,颅内动静脉畸形已完全栓塞。后期经过神经外科二病区医护团队精心的康复治疗与护理,王女士恢复良好,意识清晰,已能正常生活和工作。

术后DSA

术后CT
小科普
脑动静脉畸形(arteriovenous malformation,AVM)是一种罕见的脑血管病变,其特征是动脉和静脉扩张以及动静脉间的异常直接分流。AVM 通常在青年时期发病,最常见的表现为颅内出血,也可表现为头痛、癫痫发作和进行性神经功能障碍,具有较高的发病率和死亡率。
AVM的平均确诊年龄31岁,男女患者比例约为5∶4。大宗的尸检研究显示该病检出率约为(1~1.8)/10万人。AVM是一类复杂难治的脑血管结构异常疾病,其病灶由供血动脉、畸形血管团 (nidus)以及引流静脉组成。由于毛细血管网缺失,大量血液由动脉经畸形血管直接进入静脉系统,使病变血管流量显著增大,并最终因破裂出血或盗血导致患者神经功能障碍,甚至死亡。
目前尚无药物被证实具有闭塞或稳定BAVM的治疗效果。该疾病的治疗仍主要依赖外科技术,包括显微手术、介入栓塞以及立体定向放射治疗。
专家简介

纪文军,医学博士、主任医师、硕士生导师、陕西省特聘专家。西安交通大学第一附属医院榆林医院院务委员、脑科医院院长、神经外科二病区主任。毕业于首都医科大学附属北京天坛医院,师从我国神经介入奠基人吴中学教授。兼任10多家省级以上学会的委员和常委,榆林市神经介入学会主委、榆林市脑血管病质量控制中心主任。擅长脑血管病的神经介入诊疗、重型颅脑损伤与脑出血的综合救治、颅内肿瘤的微创治疗等。在区域内率先开展了颅内动脉瘤栓塞、颅内血管狭窄支架植入、颅内大血管闭塞取栓等各类神经介入手术,内镜下垂体瘤切除等神经内镜手术。目前已在Stroke,World Neurosurgery等国际神经外科与脑血管病杂志发表SCI论文15篇;在《中华神经外科杂志》、《中华医学杂志》、《中国微侵袭神经外科杂志》、《中国卒中杂志》等发表核心论文40余篇。参与国家自然科学基金及省部级基金4项,主持陕西省自然科学基金等省部级基金项目3项,主持榆林市科技项目3项。获得陕西省科技进步奖2项,榆林市科技进步奖7项。参编著作3部,参译著作3部。获得榆林市青年科技奖、榆林市优秀科技工作者、榆林市有突出贡献专家、榆林市十大杰出青年、榆林市十大科技创新人物等诸多荣誉称号。

杜彦挺,西安交通大学第一附属医院榆林医院神经外科二病区副主任,副主任医师,神经外科学硕士,神经外科党支部书记。获榆林市科技进步二等奖两项,发明专利3项,发表论文10余篇,获得榆林市第二届“最美医生”称号。现任中华医学会神经外科分会委员,陕西省神经外科分会委员,榆林市微创神经外科学会秘书长等。能熟练完成颅内肿瘤如脑胶质瘤、脑膜瘤、垂体瘤、颅咽管瘤、听神经瘤及椎管内脊髓内、外肿瘤切除术。熟练完成先天性颅脑疾病如小脑扁桃体下疝、先天性颅骨畸形、脑积水分流等手术。特别擅长重型、特重型颅脑损伤、各类脑出血及神经外科常见急危重症的抢救和手术。

罗有才,主任医师,2005年于第四军医大学西京医院神经外科学习1年,2010年于北京神经外科学院北京市神经外科研究所北京天坛医院高级医师提高班上学1年。多年来从事颅脑损伤、脑肿瘤、脊柱脊髓疾病、功能神经外科、脑出血及脑梗塞等疾病的临床工作。现任中华医学会神经外科分会会员,榆林市医学会神经外科分会会员,陕西省保健学会会员,榆林市公安局鉴定专家成员。

张 伟,副主任医师,硕士研究生;本科毕业于延安大学医学院,硕士毕业于新疆医科大学;陕西省神经外科学会委员,陕西省医学传播学会神经介入专委会委员,榆林市微创神经外科学会常务委员,榆林市卒中学会委员。2020年在北京天坛医院进修学习。擅长脑胶质瘤、脑膜瘤、垂体瘤等颅内肿瘤疾病,重症颅脑外伤、脑出血、脑血管病,脑积水等神经外科疾病的诊治,擅长经鼻及经颅神经内镜应用。在国内核心期刊发表专业文章6篇。

李 涛,副主任医师,硕士研究生;本科毕业于西安交大医学院,硕士毕业于山东大学齐鲁医学院;九三学社社员,陕西省医学传播学会神经介入专委会委员,陕西省国际医学交流促进会神经介入专委会委员,陕西省医学会神经介入专委会委员,榆林市微创神经外科学会常务委员,榆林市卒中学会常务委员。2021年在西京医院进修脑血管病的介入治疗。擅长颅内动脉瘤、动静脉畸形、颈动脉及颅内血管狭窄等脑血管疾病、重症颅脑外伤、颅内肿瘤、脑积水等神经外科疾病的诊治。在国内核心期刊发表专业文章5篇,参与翻译神经外科专业论著1部。

赵 乐,副主任医师,硕士研究生;本科毕业于西安医学院,硕士毕业于昆明医科大学;中共党员,榆林市微创神经外科学会常务委员,榆林市卒中学会委员。擅长颅内动脉瘤、动静脉畸形、颈动脉及颅内血管狭窄等脑血管疾病诊治,擅长重症颅脑外伤、颅内肿瘤、脑积水、脊柱疾病等神经外科疾病的诊治。现有榆林市科技基金项目1项,在国内核心期刊发表专业文章4篇。

黄子钊,主治医师,硕士研究生;本科及硕士均毕业于重庆医科大学;榆林市微创神经外科学会常务委员,榆林市卒中学会委员。擅长颅内动脉瘤、动静脉畸形、颈动脉及颅内血管狭窄等脑血管疾病诊治,擅长重症颅脑外伤、颅内肿瘤、脑积水、脊柱疾病等神经外科疾病的诊治。
科室简介

神经外科二病区
神经外科二病区是集医疗、科研、教学于一体的榆林市神经外科领域独具特色的优势专科,为陕西省临床重点建设专科,陕西省医师协会神经外科分会副主委单位,榆林市神经介入学会与榆林市微创神经外科学会主委单位,榆林市神经外科质量控制中心与榆林市脑血管病质量控制中心主任单位。
目前开设床位40张。拥有医师9名,其中主任医师1名、副主任医师5名、主治医师1名、住院医师2名;其中医学博士1名、医学硕士6名。省管专家1名,榆林市突出贡献专家1名。拥有国内先进的GE 复合手术室,3T核磁共振、256排螺旋CT、西门子大型平板DSA造影机、 Leica手术显微镜、STORZ神经内镜、术中神经电生理监测仪、立体定向仪等先进设备。与首都医科大学附属北京天坛医院等国内顶级神经外科中心建立了友好合作关系。经过近20年的不懈努力,亚学科建设突飞猛进,形成了以下诸方面的学科特色,已成为陕甘宁蒙晋交界区的神经外科中心。
1. 脑血管病神经介入治疗:率先在榆林市内成功开展颅内动脉瘤栓塞、脑动静脉畸形栓塞、脑动静脉瘘栓塞、脑血管狭窄支架植入、颅内外大血管病闭塞的介入开通、颅内静脉窦血栓的介入开通、颅内肿瘤的术前栓塞等各类神经介入手术,目前处于国内先进水平。
2. 颅内肿瘤微创治疗:率先在榆林市内开展了内镜下颅内肿瘤切除、脑干肿瘤切除、功能区肿瘤切除、颅底肿瘤切除等高难度手术,目前处于省内先进水平。
3.功能神经外科手术:率先在榆林市内开展三叉神经痛和面肌痉挛的微血管减压手术,目前处于省内先进水平。
4.脊柱脊髓手术:率先在榆林市内开展3D打印下脊柱手术,可独立完成环枕部畸形、椎管狭窄减压、椎管内肿瘤切除等各类脊柱脊髓手术,目前处于省内先进水平。
5. 颅脑损伤与脑出血:每年成功救治各类重型颅脑损伤与脑出血患者百余例,可完成硬膜外血肿清除、去骨瓣减压、颅内血肿清除、颅内血肿定向置管引流、颅骨修补、脑室腹腔分流等,目前处于省内先进水平。
脑科医院
交大一附院榆林医院脑科医院成立于2020年4月,是榆林市唯一的脑病专科医院。集临床、教学、科研、预防、保健、急救为一体的神经系统疾病的综合医学诊疗中心。是榆林市神经病学学会、榆林市神经介入学会、榆林市神经外科学会的主委单位。是榆林市脑血管病质量控制中心、榆林市神经外科质量控制中心主任的挂靠单位。是国家高级卒中中心、中国综合卒中中心、国家卫生健康委脑卒中筛查与防治基地、国家神经系统疾病联盟单位、国家心脑血管疾病联盟单位。
脑科医院包括神经内科一、二、三病区,神经外科一、二病区,神经康复医学科,神经重症医学科共7个病区组成。神经外科是陕西省临床重点建设专科。目前开放住院总床位250张,设置有独立的门诊区域,脑科医院共有医技护人员126人,医生52人,其中主任医师14人,副主任医师17人,医学博士1人,医学硕士37人;康复治疗师7人,技师5人,护士74人,其中副主任护师13人,主管护师37人。陕西省“三五”人才1人,陕西省“人才计划”项目人才1人。榆林市“一五二”人才和榆林市有突出贡献拔尖人才7名。10余人担任国家级学会及省级学会的委员、常务委员、副主任委员职务。
脑科医院设置有脑血管病、颅内肿瘤、功能神经疾病、脊髓脊柱、颅脑损伤与出血、神经重症、眩晕诊疗、神经睡眠障碍、癫痫、神经康复医学等诸多亚专业临床学组和中心,技术力量雄厚,率先在榆林市范围内开展了各类领先技术,如神经介入治疗各类出血和缺血性疾病,如颅内动脉瘤、动脉狭窄、动静脉畸形、血栓栓塞性疾病,脑干出血的手术与综合救治、颅底和脑干肿瘤的微创切除、神经内镜下颅内肿瘤切除、微血管减压治疗面肌痉挛与三叉神经痛,眩晕、睡眠障碍疾病的诊疗,处于国内先进水平。目前承担多项省级市级科研课题。获得多项省级和市级科学技术奖。
脑科医院拥有国际国内先进的医疗设备:核磁共振3台,256层高端CT 1台,大型数字减影C型臂3台,GE Discovery复合手术诊疗体系,脑卒中绿色通道,构建全面的脑血管病救治体系。有全球领先的睡眠脑电监测系统,国内先进的经颅磁刺激治疗仪、失眠治疗仪。拥有完整的眩晕综合治疗系统SRM-IV、眼震视图仪、甩头试验仪、前庭肌源诱发电位仪、平衡仪等诊疗设备。拥有脑脊液细胞学检查系统,对中枢神经系统感染诊疗提供可靠依据。拥有视频脑电监测、神经电生理检查、经颅多普勒、手术显微镜、内镜等设备。拥有全面的康复训练体系。
交大一附院榆林医院脑科医院全体医护人员在佘军军院长及赵文玉书记为首的院领导带领下,以恢宏的发展态势,迈着坚定的步伐,凝心聚力,为国家区域医疗中心建设努力奋斗!