近日,西安交通大学第一附属医院榆林医院神经外科王宁教授团队,成功完成了全国首例复杂巨大浆细胞肿瘤的完整切除。该肿瘤直径超过10厘米,广泛侵犯颅内、颅外及颅骨,手术难度极高。目前患者术后恢复良好。
病情罕见:“生命中枢”旁的“不速之客”
日前,患者因左侧肢体运动功能障碍并出现喷射性呕吐,被紧急送至交大一附院榆林医院。神经外科王宁教授接诊后,经影像检查发现患者颅骨严重受损,颅内病变紧邻大脑功能区、重要血管及神经。肿瘤直径逾10厘米,深深嵌入头颅,不仅广泛侵蚀颅骨,还向内压迫颅内重要结构,向外突出于头皮。如此巨大且侵袭性强的单一病灶,在临床上极为罕见,对主刀医生的技术水平、临床经验及团队协作能力均构成极大挑战。

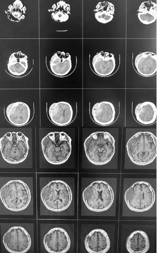
术前头颅CT、MRI图
多学科协同:术前“算无遗策”,术中“毫厘必争”
面对这一复杂病例,王宁教授团队迅速启动多学科协作机制,组织神经外科、血液内科、麻醉手术科等进行深入会诊。刘鹏程主任医师、杜方雷副主任医师与王宁教授共同细致研判影像资料,全面评估肿瘤供血血管、与周围脑组织及静脉窦的毗邻关系,系统推演术中可能出现的风险,并制定了周密的手术方案与应急预案。
手术前一天,刘鹏程主任医师在复合手术室内为患者施行肿瘤供血动脉部分栓塞术,为后续肿瘤切除奠定基础。次日,由王宁教授主刀,在麻醉团队全程护航及手术团队通力配合下,历经数小时,成功将侵犯颅内外及颅骨的巨大肿瘤完整切除。手术在彻底清除肿瘤的同时,最大程度保护了患者的正常神经功能,实现了功能保留与根治性切除的双重目标。术后患者生命体征平稳,未出现任何神经功能新增损伤,目前正在顺利康复中。

术后影像
此次高难度手术的成功,充分展现了交大一附院榆林医院神经外科在复杂颅脑疾病领域的综合诊治实力。作为国家区域医疗中心,医院通过多学科协作机制,成功让一系列高难度手术常态化开展,有力提升了区域疑难重症疾病的属地化诊疗水平,是推动实现“大病不出省”目标的具体实践,让广大群众在“家门口”就能享受到国家级优质医疗服务。
【专家简介】

王宁,西安交通大学第一附属医院榆林医院神经外科一病区特聘主任、副主任医师,现任陕西省医师协会神经脊柱微创专业委员会委员,陕西省医学交流促进会神经脊柱专委会委员。在国内外高水平学术期刊发表学术论文10余篇,其中SCI收录6篇,获得国家发明专利2项,主持陕西省自然科学基金1项,获陕西省科技进步三等奖1项。专业特长:在颅脑肿瘤、椎管肿瘤、颅脑损伤、寰枕部畸形、脊髓栓系综合症、脊柱退行性病变等神经外科疾病的手术治疗方面具有丰富的经验积累。目前专注于脊髓脊柱疾病的微创治疗。

刘鹏程,交大一附院榆林医院神经外科主任医师,硕士研究生,现任北京整合医学会神经介入专业委员会副主任委员;陕西省医学传播学会脑血管病专委会常委;榆林市神经介入学会秘书长;荣获“优秀援藏专家”称号。2010年毕业至今,在交大一附院榆林医院神经外科一病区工作。2014至2015年,首都医科大学附属天坛医院神经外科国内高等访问学者;2018年,应邀参加瑞典卡罗林斯卡医学院举办的脑血管病的学术教学与交流;2024年-2025年,陕西省卫健委第二批学科带头人访学研修计划,再次赴首都医科大学附属北京天坛医院访学研修一年。先后在国内发表论文10余篇,SCI两篇,参与编写及翻译著作两部,国家发明专利一项,荣获陕西省科技成果认证一项,荣获榆林市科技成果认证两项。荣获榆林市“最美医生”。率先在榆林地区自主开展出血性及缺血性脑血管病的介入及开刀治疗,更是陕北地区开展意识障碍脊髓电刺激促醒手术的先驱专家。

杜方雷,交大一附院榆林医院神经外科一病区副主任医师,空军医科大学硕士生。专业研究方向:椎管内肿瘤、脊柱外伤、先天性脊柱畸形、脊柱退行性疾病的显微外科治疗,颈椎病、腰椎间盘突出、腰椎管狭窄等疾病的显微治疗,常见脑肿瘤、脑外伤、高血压脑出血的显微、微创治疗。任职:陕西省保健学会脊柱脊髓专委会会员、中国医师协会会员,核心期刊发表论文6篇。