近日,交大一附院榆林医院脑科医院神经外科二病区纪文军主任医师团队成功为一名桥小脑角区-颈静脉孔区占位患者实施耳后弧形切口远外侧入路颅内占位切除术。术后患者恢复良好,已顺利康复出院。这是陕北地区首次开展此类高难度手术,标志着区域神经外科诊疗水平再上新台阶。
34岁的高先生(化名)近半年来右耳听力进行性下降,近一个月症状加重,并陆续出现右侧面部麻木、口角歪斜、声音嘶哑、言语及吞咽困难(饮水呛咳)等表现。此前多地检查未明确病因,经多方打听,他慕名来到交大一附院榆林医院就诊。神经外科二病区纪文军主任医师接诊后,结合患者症状及影像学检查,确诊其为桥小脑角-颈静脉孔区囊实性占位病变。肿瘤体积较大,已压迫脑干及后组颅神经,若不及时手术,可能进一步危及生命并加重神经功能障碍,手术指征明确。

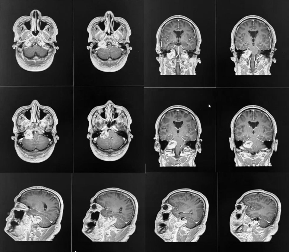
术前MRI检查
考虑到肿瘤位置深在、累及桥小脑角及颈静脉孔区,且毗邻脑干及重要神经血管,手术难度与风险极高。为最大程度保障患者安全并保护神经功能,纪文军团队联合麻醉手术科等多学科展开术前讨论,最终制定个体化方案:借助神经电生理监测技术,通过耳后隐蔽弧形切口,采用“远外侧入路”这一精准路径实施肿瘤切除。经过充分术前准备,在纪文军主任医师领衔下,杜彦挺主任医师、张伟副主任医师及黄子钊主治医师团队默契配合,在麻醉手术科全程护航下,历时3小时成功完整切除肿瘤。

术后CT检查
术后病理结果显示为神经鞘瘤。经过两周精心治疗与护理,患者生命体征平稳,面瘫、声嘶、饮水呛咳等问题均得到显著改善,并康复出院。此次手术的成功,充分展现了交大一附院榆林医院在复杂颅底肿瘤诊疗领域的技术突破,为陕甘宁蒙晋交界区群众提供了更优质的医疗保障。