近日,交大一附院榆林医院脑科医院神经外科二病区团队在纪文军主任医师带领下,成功应用密网支架(血流导向装置)技术为一名颅内血泡样动脉瘤患者实施高难度介入手术。
王女士(化名)因突发头痛伴恶心、呕吐5小时被紧急送往我院就诊,入院时症状不断加重,意识逐渐模糊,且频繁恶心、呕吐,急诊头颅CT检查显示蛛网膜下腔出血。脑科医院院长纪文军主任医师接诊后,立即启动卒中绿色通道。经详细问诊,得知王女士有多年的肾病综合征及高血压病史,且血压一直居高不下,动脉瘤破裂风险极高。纪文军主任医师判断情况危急,立即安排脑血管检查进一步明确诊断。

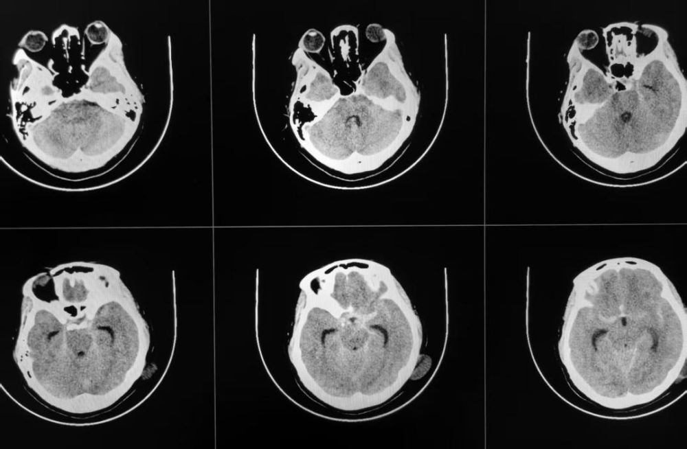
术前CT提示蛛网膜下腔出血
在肾病内科协助制定肾功能保护方案后,紧急完成全脑血管造影,确诊为"左侧颈内动脉眼动脉段血泡样动脉瘤"。因该类动脉瘤形态特殊,传统开颅夹闭难度大,而常规介入栓塞易复发且术中易破裂,纪文军主任医师凭借丰富的经验和对前沿技术的掌握,最终决定采用国内领先的"密网支架(血流导向装置)联合弹簧圈栓塞"术。
术中,通过微导管精准塑形、支架完美释放,实现动脉瘤致密栓塞。术后,造影显示动脉瘤完全消失,载瘤动脉及分支血管血流通畅,患者无神经功能缺损,安返病房。

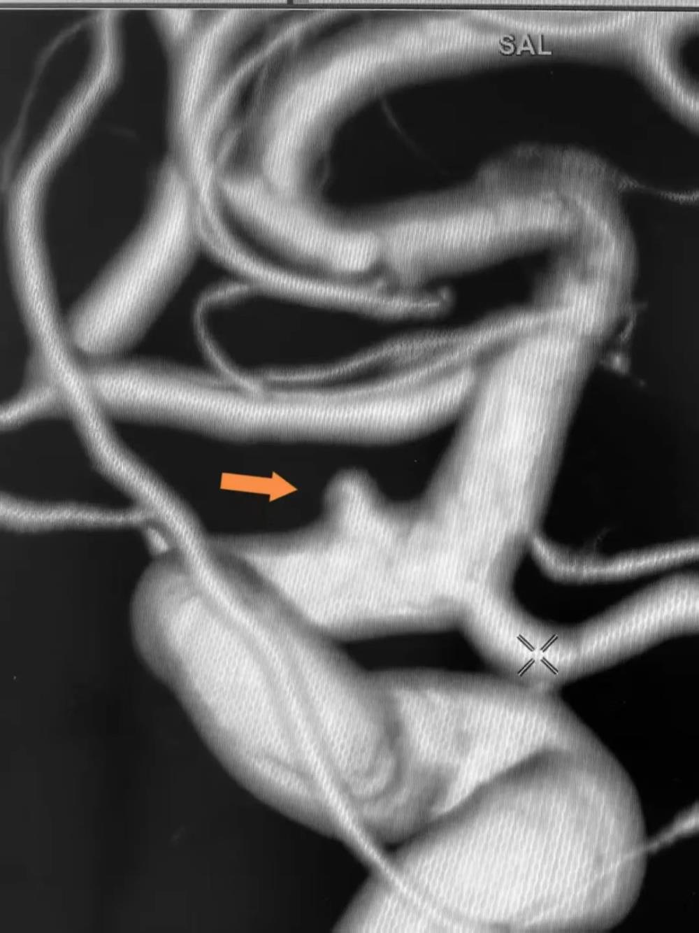
术前三维造影

术后DSA提示动脉瘤完全栓塞
交大一附院榆林医院神经外科二病区已成功开展多例同类手术。此次手术的顺利完成,不仅标志着该科室颅内动脉瘤介入诊疗技术达到国内先进水平,更充分展现了医院在复杂脑血管疾病诊疗领域的综合实力。未来,神经外科二病区将持续推进技术创新,以精湛医术为更多患者筑牢生命健康防线。
小科普
颅内血泡样动脉瘤(blood blister—like aneurysm,BBA)系指起源于颈内动脉(ICA)床突上段近端前壁或前内壁、非血管分叉处、外表鲜红色、呈“ 血泡样”的一组动脉瘤,其占颅内动脉瘤0.3%-1%,ICA动脉瘤0.9%-6.5%;特点为瘤壁薄、体积小、基底宽、瘤颈不明显,且常伴周围载瘤动脉壁缺损,宽基底,瘤壁菲薄,可见的血流,也称颈内动脉血泡样动脉瘤;BBA发病机制不详,由于BBA位于ICA前壁或前内壁,可能与血流直接冲击于ICA床突上段血管弯曲处有关;BBA患者动脉多有粥样硬化改变,动脉硬化斑块处合并斑块溃疡可导致血管壁内弹力膜的破裂,在动脉壁的中层形成出血可导致BBA的形成;BBA可伴有ICA夹层表现,提示动脉夹层可能是BBA的原发病因。BBA的病理特征为血管壁的内弹力层退变,内膜和中膜破损,破损被纤维蛋白组织或外膜覆盖,非“真性”动脉瘤。BBA诊断困难,CT及MRI无特异性表现,BBA多有蛛网膜下腔出血病史,术中见“血泡样”特点证实。但DSA有以下特征性表现:1)动脉瘤位于颈内动脉前壁或前内侧壁、2)短期可见明显增大、3)动脉瘤周边无颈内动脉分支、4) 常伴载瘤动脉狭窄或夹层。
基于BBA自身特点,无论显微外科手术还是血管内介入治疗,术中及术后的出血风险均较高,且术后极易复发,目前临床对血泡样动脉瘤的最佳治疗方案尚未达成共识。目前BBA治疗主要有显微外科手术和血管内治疗。
显微外科手术主要包括单纯动脉瘤夹闭术、动脉瘤包裹夹闭术、血管缝合术以及动脉瘤孤立术伴或不伴颅内外血管搭桥术等多种术式,但疗效迥异。然而,血泡样动脉瘤与囊状动脉瘤不同,因其瘤壁薄、无明显瘤颈且累及周围载瘤动脉,直接夹闭极易造成瘤颈撕裂,可导致术中致命性出血,有文献报道其术中出血率达30% -50%;且术后复发率及再出血率也较高。血管内介入治疗主要包括单纯弹簧圈栓塞术、支架辅助弹簧圈栓塞术、密网支架(FD)及覆膜支架等治疗。与显微外科手术相比,血管内介入治疗具有创伤小,手术时间短,术后恢复迅速等优点,对于Hunt-Hess分级较低的血泡样动脉瘤患者,血管内介入治疗的临床预后优于显微外科手术,且病残率和病死率较低。随着血管内介入材料的发展和治疗理念的更新,现已从针对动脉瘤的栓塞过渡到载瘤动脉修复治疗的时代,密网支架应运而生。针对血泡样动脉瘤周围载瘤动脉壁发育缺陷的特点,越来越多的学者尝试应用密网支架。密网支架主要是利用高金属覆盖率(30%-35%)的支架重塑局部载瘤动脉内的血液流向,减少动脉瘤内血液进入,降低血流对动脉瘤壁的冲击力,造成瘤内血栓形成;同时促进载瘤动脉的内皮化,修复动脉壁损伤。约90%的血泡样动脉瘤患者经密网支架治疗后可获得良好的临床效果和完全闭塞率。
总之,颅内血泡样动脉瘤的治疗目前仍是难点,但随着评估手段及血流导向装置的应用,准确评估患者的病情和血管条件,为不同患者选择个体化治疗方案,从而达到满意结果。
专家简介

纪文军,主任医师,博士毕业于首都医科大学附属北京天坛医院,师从我国神经介入奠基人吴中学教授。目前任西安交通大学第一附属医院榆林医院院务委员、脑科医院院长、神经外科二病区主任,兼任10多家省级以上学会的委员和常委,榆林市神经介入学会主委、榆林市脑血管病质量控制中心主任。擅长脑血管病的神经介入诊疗、重型颅脑损伤与脑出血的综合救治、颅内肿瘤的微创治疗等。在区域内率先开展了颅内动脉瘤栓塞、颅内血管狭窄支架植入、颅内大血管闭塞取栓等各类神经介入手术,内镜下垂体瘤切除等神经内镜手术。目前已在Stroke,World Neurosurgery等国际神经外科与脑血管病杂志发表SCI论文15篇;在《中华神经外科杂志》、《中华医学杂志》、《中国微侵袭神经外科杂志》、《中国卒中杂志》等发表核心论文40余篇。参与国家自然科学基金及省部级基金4项,主持陕西省自然科学基金等省级基金项目3项,主持榆林市科技项目3项。获得陕西省科技进步奖2项,榆林市科技进步奖7项。参编著作3部,参译著作3部。获得榆林市青年科技奖、榆林市优秀科技工作者、榆林市有突出贡献专家、榆林市十大杰出青年、榆林市十大科技创新人物等诸多荣誉称号。

罗有才,主任医师,2005年于第四军医大学西京医院神经外科学习1年,2010年于北京神经外科学院北京市神经外科研究所北京天坛医院高级医师提高班上学1年。多年来从事颅脑损伤、脑肿瘤、脊柱脊髓疾病、功能神经外科、脑出血及脑梗塞等疾病的临床工作。现任中华医学会神经外科分会会员,榆林市医学会神经外科分会会员,陕西省保健学会会员,榆林市公安局鉴定专家成员。

李涛,副主任医师,硕士研究生;本科毕业于西安交大医学院,硕士毕业于山东大学齐鲁医学院;九三学社社员。陕西省卒中专科联盟神经介入专委会常务委员,陕西省医学会神经介入专委会委员,陕西省医学传播学会神经介入专委会委员,陕西省国际医学交流促进会神经介入专委会委员,陕西省红十字基金会神经血管专家委员会委员,榆林市脑血管病质控中心秘书长,榆林市微创神经外科学会常务委员,榆林市神经介入学会常务委员,榆林市卒中学会常务委员。2021年曾在空军军医大学西京医院进修脑血管病的介入治疗。擅长颅内动脉瘤、动静脉畸形、颈动脉及颅内血管狭窄等脑血管疾病、重症颅脑外伤、颅内肿瘤、脑积水等神经外科疾病的诊治。在国内核心期刊发表专业文章5篇,参与翻译神经外科专业论著1部。

赵乐,副主任医师,本科毕业于西安医学院,硕士毕业于昆明医科大学;榆林市微创神经外科学会常务委员,榆林市卒中学会委员。擅长颅内动脉瘤、动静脉畸形、颈动脉及颅内血管狭窄等脑血管疾病诊治,擅长重症颅脑外伤、颅内肿瘤、脑积水、脊柱疾病等神经外科疾病的诊治。现有榆林市科技基金项目1项,在国内核心期刊发表专业文章4篇。
科室简介
【神经外科二病区简介】

交大一附院榆林医院神经外科二病区是集医疗、科研、教学于一体的榆林市神经外科领域独具特色的优势专科,为陕西省临床重点建设专科,陕西省医师协会神经外科分会副主委单位,榆林市神经介入学会与榆林市微创神经外科学会主委单位,榆林市神经外科质量控制中心与榆林市脑血管病质量控制中心主任单位。
目前开设床位40张。拥有医师9名,其中主任医师3名、副主任医师3名、主治医师2名、住院医师1名;其中医学博士1名、医学硕士6名。省管专家1名,榆林市突出贡献专家1名。拥有国内先进的GE 复合手术室,3T核磁共振、256排螺旋CT、西门子大型平板DSA造影机、 Leica手术显微镜、STORZ神经内镜、术中神经电生理监测仪、立体定向仪等先进设备。与首都医科大学附属北京天坛医院等国内顶级神经外科中心建立了友好合作关系。经过近20年的不懈努力,亚学科建设突飞猛进,形成了以下诸方面的学科特色,已成为陕甘宁蒙晋交界区的神经外科中心。
1. 脑血管病神经介入治疗:率先在榆林市内成功开展颅内动脉瘤栓塞、脑动静脉畸形栓塞、脑动静脉瘘栓塞、脑血管狭窄支架植入、颅内外大血管病闭塞的介入开通、颅内静脉窦血栓的介入开通、颅内肿瘤的术前栓塞等各类神经介入手术,目前处于国内先进水平。
2. 颅内肿瘤微创治疗:率先在榆林市内开展了内镜下颅内肿瘤切除、脑干肿瘤切除、功能区肿瘤切除、颅底肿瘤切除等高难度手术,目前处于省内先进水平。
3.功能神经外科手术:率先在榆林市内开展三叉神经痛和面肌痉挛的微血管减压手术,目前处于省内先进水平。
4.脊柱脊髓手术:率先在榆林市内开展3D打印下脊柱手术,可独立完成环枕部畸形、椎管狭窄减压、椎管内肿瘤切除等各类脊柱脊髓手术,目前处于省内先进水平。
5. 颅脑损伤与脑出血:每年成功救治各类重型颅脑损伤与脑出血患者百余例,可完成硬膜外血肿清除、去骨瓣减压、颅内血肿清除、颅内血肿定向置管引流、颅骨修补、脑室腹腔分流等,目前处于省内先进水平。
【脑科医院简介】
交大一附院榆林医院脑科医院成立于2020年4月,是榆林市唯一的脑病专科医院。集临床、教学、科研、预防、保健、急救为一体的神经系统疾病的综合医学诊疗中心。是榆林市神经病学学会、榆林市神经介入学会、榆林市神经外科学会的主委单位。是榆林市脑血管病质量控制中心、榆林市神经外科质量控制中心主任的挂靠单位。是国家高级卒中中心、中国综合卒中中心、国家卫生健康委脑卒中筛查与防治基地、国家神经系统疾病联盟单位、国家心脑血管疾病联盟单位。
脑科医院包括神经内科一、二、三病区,神经外科一、二病区,神经康复医学科,神经重症医学科共7个病区组成。神经外科是陕西省临床重点建设专科。目前开放住院总床位250张,设置有独立的门诊区域,脑科医院共有医技护人员126人,医生52人,其中主任医师14人,副主任医师17人,医学博士1人,医学硕士37人;康复治疗师7人,技师5人,护士74人,其中副主任护师13人,主管护师37人。陕西省“三五”人才1人,陕西省“人才计划”项目人才1人。榆林市“一五二”人才和榆林市有突出贡献拔尖人才7名。10余人担任国家级学会及省级学会的委员、常务委员、副主任委员职务。
脑科医院设置有脑血管病、颅内肿瘤、功能神经疾病、脊髓脊柱、颅脑损伤与出血、神经重症、眩晕诊疗、神经睡眠障碍、癫痫、神经康复医学等诸多亚专业临床学组和中心,技术力量雄厚,率先在榆林市范围内开展了各类领先技术,如神经介入治疗各类出血和缺血性疾病,如颅内动脉瘤、动脉狭窄、动静脉畸形、血栓栓塞性疾病,脑干出血的手术与综合救治、颅底和脑干肿瘤的微创切除、神经内镜下颅内肿瘤切除、微血管减压治疗面肌痉挛与三叉神经痛,眩晕、睡眠障碍疾病的诊疗,处于国内先进水平。目前承担多项省级市级科研课题。获得多项省级和市级科学技术奖。
脑科医院拥有国际国内先进的医疗设备:核磁共振3台,256层高端CT 1台,大型数字减影C型臂3台,GE Discovery复合手术诊疗体系,脑卒中绿色通道,构建全面的脑血管病救治体系。有全球领先的睡眠脑电监测系统,国内先进的经颅磁刺激治疗仪、失眠治疗仪。拥有完整的眩晕综合治疗系统SRM-IV、眼震视图仪、甩头试验仪、前庭肌源诱发电位仪、平衡仪等诊疗设备。拥有脑脊液细胞学检查系统,对中枢神经系统感染诊疗提供可靠依据。拥有视频脑电监测、神经电生理检查、经颅多普勒、手术显微镜、内镜等设备。拥有全面的康复训练体系。
交大一附院榆林医院脑科医院全体医护人员在佘军军院长及赵文玉书记为首的院领导带领下,以恢宏的发展态势,迈着坚定的步伐,凝心聚力,为国家区域医疗中心建设努力奋斗!