日前,在西安交大一附院派驻放疗专家王纪全教授、袁维教授指导下,榆林医院肿瘤放疗科常雨薇医生、杨泽物理师及科室技术团队成功开展陕北首例4D-CT引导下肺癌立体定向放射治疗(SBRT),填补了区域空白,开启了肺癌诊疗“精准、无创、可靠”的新时代。
今年80岁的患者杜爷爷(化名)于2023年11月23日行胸部CT检查示:右肺中下叶可见大小约2.6×2.9cm结节状高密度影,考虑肿瘤可能。行肺占位穿刺活检病理示:腺癌(分化II级)。因患者年龄较大且患有基础疾病,本人及家属不考虑手术治疗,遂就诊于我院肿瘤放疗科。
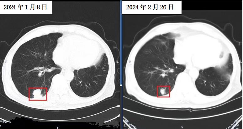
患者影像资料对比
王纪全教授在充分了解杜爷爷病情及诊疗意愿后,为他制定了低分次个体化肺癌立体定向放射治疗(SBRT)方案。立体定向放射治疗(SBRT)通过一次或少量的几次照射达到根治肿瘤剂量,消融同时降低正常组织副反应,单次剂量大、分次低,生物效应高,对各种实体肿瘤疗效好、副作用低。
杜爷爷在放疗后一月余后复查,CT示肿瘤明显缩小,达到71%以上,疗效显著,后期预估可能达到CR诊疗标准。
看到疗效后,杜爷爷和家属对西安交大一附院榆林医院肿瘤放疗科诊疗水平高高地竖起了大拇指,开心地说:“感谢肿瘤放疗科工作人员,一个来月了治疗过程中没有任何不舒服,没想到效果竟然这么好,过年期间我还胖了许多。”
研究表明,早期肺癌患者接受立体定向放射治疗(SBRT)可以和手术治疗效果相媲美。目前SBRT已成为无法耐受手术或不愿意接受手术治疗的早期肺癌患者的标准治疗方式,对于晚期肺内孤立转移灶和单发、多发转移瘤,SBRT也可以取得很好的疗效。4D-CT在常规CT扫描中加入时间维度,真实再现肿瘤随呼吸运动规律,为肺部肿瘤的精确定位提供影像依据 。西安交大一附院榆林医院肿瘤放疗科利用4D-CT定位,结合CBCT影像验证技术,确保了立体定向放射治疗技术(SBRT)的“精准、安全、有效”实施,可为肿瘤患者提供更加精细准确的放疗服务,不断提升肿瘤放疗科在区域内的影响力、辐射力!
专家简介

王淑红
硕士生导师
西安交通大学第一附属医院榆林医院肿瘤放疗科主任,副研究员。美国德克萨斯大学访问学者,陕西省健康管理师协会肿瘤全程管理专业委员会副主委,
陕西省抗癌协会肺癌专业委员会常委,西安市癌症康复协会精准治疗专业委员会常委。
相关研究成果发表国际及核心期刊文章20余篇,主持国家自然科学基金2项,省级重点项目1项,其它省部级、校级及院级各级基金5项,以第一完成人荣获陕西高等学校科学技术二等奖。
王纪全
副主任医师
中共党员,医学硕士,西安交通大学第一附属医院肿瘤放疗科。担任陕西省抗癌协会青年专业委员会委员;陕西省抗癌协会抗癌药物专业委员会委员;陕西省医师协会放射治疗医师分会委员会委员;陕西省预防医学会放射卫生专业委员会委员;西安医学会肿瘤学分会青年委员会委员。
2008年毕业于西安交通大学肿瘤学专业,获硕士学位,后就职于西安交通大学第一附属医院肿瘤放疗科,从事肿瘤放疗专业临床工作。掌握常规放射治疗技术,临床能力扎实,擅长于头颈部及腹盆腔肿瘤精确放射治疗及综合治疗。承担肿瘤学研究生、临床实习带教;承担规培医师临床带教。作为课题负责人主持省攻关基金项目1项;院新医疗新技术1项。以第一作者和通讯作者发表sci和中文核心期刊文章多篇。
研究方向与专长:颈及腹盆腔肿瘤基础研究,擅长头颈部、腹盆腔肿瘤精确放射治疗及综合治疗。
谢明瑞
主任医师
西安交通大学第一附属医院榆林医院肿瘤放疗科主任。现担任榆林市肿瘤内科质控组长,陕西省肿瘤质控组成员,陕西省抗癌协会抗癌药物治疗专业委员会常委,陕西省抗癌协会肿瘤综合治疗专业委员会常委,陕西省抗癌协会化疗专业委员会常委, 陕西省抗癌协会第三届肿瘤微创专业委员会委员。曾长期在西安交通大学第一附属医院榆林医院肾内科,心内科,内分泌科,血液科及综合外科工作锻炼,有丰富的临床实践经验。曾在北京大学肿瘤医院及北京大学第一医院进修学习肿瘤专业。在榆林市率先开展肿瘤内科的规范化诊疗,静脉输液港植入,肿瘤微波,射频消融术,CT引导下经皮胃造瘘术,经皮胰腺穿刺活检术皮下或静脉大剂量吗啡治疗难治性癌痛,擅长肿瘤化疗,靶向,免疫治疗及肿瘤介入微创治疗。
魏英
主任医师
西安交通大学第一附属医院榆林医院肿瘤放疗科主任,硕士研究生,博士在读。
专业特长:肺癌、乳腺癌、胃肠道肿瘤、妇科肿瘤的综合治疗、靶向治疗、免疫治疗、放射治疗及个体化精准治疗。
学术兼职:陕西省抗癌药物专业委员会首届青年委员常委、陕西省抗癌协会近距离放射治疗专业委员会常委、西安医学会肿瘤学分会青年委员常委、陕西省医学会放射肿瘤治疗分会委员、陕西省抗癌协会第三届大肠癌专业委员会青年委员会委员、陕西省抗癌协会肿瘤综合治疗专业委员会委员、陕西省抗癌协会肿瘤生物治疗专业委员会委员、陕西省抗癌协会化疗专业委员会委员、陕西省抗癌协会第二届临床肿瘤学协会专业委员会委员、陕西省抗癌协会保健学会专业委员会委员。
2010年毕业于西安交通大学医学院肿瘤学专业,2013年榆林市委组织部刚性引进高层次紧缺人才。获2018年第四届"榆林十大美女性"。在核心期刊发表学术论文数10篇,发表SCI论文3篇。毕业后一直从事肺癌、乳腺癌、食管癌、胃癌、结直肠癌、妇科肿瘤的化疗、靶向治疗、免疫治疗、放射治疗及综合治疗。具备扎实的肿瘤学、肿瘤放射治疗学知识。能够及时了解肿瘤内科治疗、肿瘤放射治疗领域国内外新动态及发展趋势。对常见肿瘤的诊治及并发症的处理,积累了丰富的临床经验。注重癌症患者的跟踪随访、人文关怀与心理疏导,提倡临床实践及以循证医学为指导相结合的综合治疗和规范化治疗。