欢迎光临西安交通大学第一附属医院榆林医院网站!
总院区榆林医院关于医院新闻中心智慧医疗院务公开科研教学党群工作招标采购
新闻动态

【国家区域医疗中心·名医在身边】西安交大一附院榆林医院雕刻式切除功能区胶质瘤,助患者获新生

作者:宣传教育科文章来源:西安交大一附院榆林医院发布时间:2024/4/2 10:55:00阅读:3959

近日,西安交大一附院榆林医院脑科医院神经外科二病区在纪文军主任医师带领下,成功为一名功能区胶质瘤患者雕刻式切除左侧额顶叶胶质瘤,在完整全切功能区胶质瘤挽救患者生命的同时,对患者肢体运动及感觉功能保护完好,语言功能保护完好,极大改善了患者的预后及生活质量。该项手术的成功标志我院神经外科诊疗技术迈上了新的台阶,

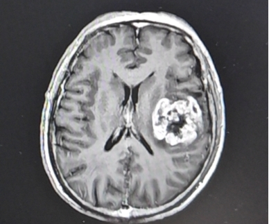
65岁的李大爷(化名)因“右侧面瘫伴有右侧上肢活动不灵、言语不利2周”来我院就诊,李大爷自述,觉得近期出现右侧面瘫伴有右侧上肢活动不灵、言语不利,且症状进行加重,经多方打听慕名来西安交大一附院榆林医院神经外科二病区找到纪文军主任医师。来院后,行头颅MRI检查提示:左侧额顶叶占位,考虑为胶质瘤。

术前MRI

术后CT

纪文军主任医师迅速组织科内专家进行讨论,制定手术方案,考虑李大爷的肿瘤位置深,体积大,与周围正常脑组织界限不清,且肿瘤血供丰富,肿瘤内有多支左侧大脑中动脉M3段分支供血,肿瘤与多支血管关系紧密,在保证不损伤功能的前提下,尽大可能完整切除功能区胶质瘤,手术难度极大。术前,充分告知患者家属手术风险,出于对纪文军主任团队的充分信任,患者家属经详细了解后,决定在我院进行手术。

术前,纪文军主任医师团队进行了充分的术前准备,制定详尽的手术方案,对李大爷的肿瘤进行精确定位。术中,在纪文军主任医师、杜彦挺副主任医师、张伟副主任医师及全科人员的通力合作下,通过3个多小时努力,成功为李大爷雕刻式完整切除颅内肿瘤。

术后,患者很快苏醒,右侧肢体肌力无明显下降,感觉及运动良好,语言功能无减退,手术圆满成功,术后复查肿瘤全切。病理结果回报提示:胶质母细胞瘤。

经过神经外科二病区医护团队的精心治疗和护理,患者恢复良好,目前已康复出院。“纪文军主任技术就是好,手术真是做好了,我父亲醒来以后就觉得右面身体轻松了,说话也没受影响,比我们之前预想的结果还要好。”李大爷的家属高兴地说。

胶质瘤尤其是胶质母细胞瘤(GBM),是成年人原发恶性脑肿瘤中常见的,预后较差。目前,GBM的治疗标准是大限度切除肿瘤并保留一定程度的脑功能,其次是辅助放、化疗,中位总生存期约为15个月,5年生存率4%-5%。


纪文军

医学博士、主任医师、陕西省特聘专家。

博士毕业于首都医科大学附属北京天坛医院,师从我国神经介入奠基人吴中学教授。目前任西安交通大学附属第一医院榆林医院院务委员、脑科医院院长、神经外科二病区主任,兼任10多家省级以上学会的委员和常委,榆林市神经介入学会主委、榆林市脑血管病质量控制中心主任。擅长脑血管病的神经介入诊疗、重型颅脑损伤与脑出血的综合救治、颅内肿瘤的微创治疗等。在区域内率先开展了颅内动脉瘤栓塞、颅内血管狭窄支架植入、颅内大血管闭塞取栓等各类神经介入手术,内镜下垂体瘤切除等神经内镜手术。目前已在Stroke,World Neurosurgery等国际神经外科与脑血管病杂志发表SCI论文15篇;在《中华神经外科杂志》、《中华医学杂志》、《中国微侵袭神经外科杂志》、《中国卒中杂志》等发表核心论文40余篇。参与国家自然科学基金及省部级基金4项,主持陕西省自然科学基金等省级基金项目3项,主持榆林市科技项目3项。获得陕西省科技进步奖2项,榆林市科技进步奖7项。参编著作3部,参译著作3部。获得榆林市青年科技奖、榆林市优秀科技工作者、榆林市有突出贡献专家、榆林市十大杰出青年、榆林市十大科技创新人物等诸多荣誉称号。

杜彦挺

 西安交通大学第一附属医院榆林医院神经外科二病区副主任,副主任医师,神经外科学硕士,中共党员,神经外科党支部书记。获榆林市科技进步二等奖两项,发明专利3项,发表论文10余篇,获得榆林市第二届“美医生”称号。现任中华医学会神经外科分会委员,陕西省神经外科分会委员,榆林市微创神经外科学会秘书长等。

 能熟练完成颅内肿瘤如脑胶质瘤、脑膜瘤、垂体瘤、颅咽管瘤、听神经瘤及椎管内脊髓内、外肿瘤切除术。熟练完成先天性颅脑疾病如小脑扁桃体下疝、先天性颅骨畸形、脑积水分流等手术。特别擅长重型、特重型颅脑损伤、各类脑出血及神经外科常见急危重症的抢救和手术。

张伟

 副主任医师,硕士研究生;本科毕业于延安大学医学院,硕士毕业于新疆医科大学;陕西省神经外科学会委员,陕西省医学传播学会神经介入专委会委员,榆林市微创神经外科学会常务委员,榆林市卒中学会委员。2020年在北京天坛医院进修学习。擅长脑胶质瘤、脑膜瘤、垂体瘤等颅内肿瘤疾病,重症颅脑外伤、脑出血、脑血管病,脑积水等神经外科疾病的诊治,擅长经鼻及经颅神经内镜应用。在国内核心期刊发表专业文章6篇。


科室简介

西安交大一附院榆林医院神经外科二病区是集医疗、科研、教学于一体的榆林市神经外科领域独具特色的优势专科,为陕西省临床重点建设专科,陕西省医师协会神经外科分会副主委单位,榆林市神经介入学会与榆林市微创神经外科学会主委单位,榆林市神经外科质量控制中心与榆林市脑血管病质量控制中心主任单位。

目前开设床位40张。拥有医师9名,其中主任医师1名、副主任医师5名、主治医师1名、住院医师2名;其中医学博士1名、医学硕士6名。省管专家1名,榆林市突出贡献专家1名。拥有国内先进的GE 复合手术室,3T核磁共振、256排螺旋CT、西门子大型平板DSA造影机、 Leica手术显微镜、STORZ神经内镜、术中神经电生理监测仪、立体定向仪等先进设备。与首都医科大学附属北京天坛医院等国内顶级神经外科中心建立了友好合作关系。经过近20年的不懈努力,亚学科建设突飞猛进,形成了以下诸方面的学科特色,已成为陕甘宁蒙晋交界区的神经外科中心。 

1. 脑血管病神经介入治疗:率先在榆林市内成功开展颅内动脉瘤栓塞、脑动静脉畸形栓塞、脑动静脉瘘栓塞、脑血管狭窄支架植入、颅内外大血管病闭塞的介入开通、颅内静脉窦血栓的介入开通、颅内肿瘤的术前栓塞等各类神经介入手术,目前处于国内先进水平。

2. 颅内肿瘤微创治疗:率先在榆林市内开展了内镜下颅内肿瘤切除、脑干肿瘤切除、功能区肿瘤切除、颅底肿瘤切除等高难度手术,目前处于省内先进水平。 <