欢迎光临西安交通大学第一附属医院榆林医院网站!
总院区榆林医院关于医院新闻中心智慧医疗院务公开科研教学党群工作招标采购
新闻动态

榆林二院脑科医院成功救治一名重型颅脑损伤婴儿

作者:宣传教育科文章来源:榆林市第二医院发布时间:2020/9/15 15:49:00阅读:2465

近日,榆林二院脑科医院神经外科一病区,在多学科的全力配合下,经高效的急诊绿色通道,采用精准化个体治疗,成功救治了一名6 月龄跌落伤致颅脑损伤的患儿。

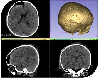
据了解,该患儿从床上不慎摔落致头部受伤,未引起家长重视,随后出现呼叫不醒,伴有恶心呕吐,精神萎靡等症状。遂来我院急诊儿科就诊,急查头颅 CT 提示,颅内巨大血肿,中线结构移位,脑组织受压明显。

入院时患儿病情危重,已陷入昏迷,重度贫血貌,双瞳孔反射迟钝,生命危在旦夕。会诊后,立即转入神经外科一病区救治。考虑患儿年龄小、病情重、手术及麻醉风险极大、可能预后不良等因素,神经外科一病区迅速成立救治小组,与麻醉科、重症医学科、儿科、泌尿外科、输血科等多学科联合,克服重重困难,急诊在全麻下行开颅手术,清除血肿约 130ml(该患儿体重约 7.5kg)。

术后骨瓣还纳,为大程度减小手术切口及不影响患儿以后颅骨的生长发育,采用精准影像融合技术定位,以及可吸收颅骨锁固定骨瓣,手术顺利。术后在重症医学科严密观察患儿意识及生命体征,48 小时后患儿各项生命体征平稳,转回神经外科一病区继续治疗。

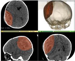
经过医护人员 2 周的专业治疗和精心护理,患儿病情恢复良好,术后复查头颅 CT显示:血肿完全清除,中线恢复居中,骨瓣回位良好,现已治愈出院。

温馨提示 :婴幼儿如果头部意外受伤后,注意严密观察患儿生命体征情况,若出现精神不好、哭闹不止、烦躁、呕吐、抽搐、嗜睡甚至昏迷,家长一定要重视并及时送到医院就诊。