欢迎光临西安交通大学第一附属医院榆林医院网站!
总院区榆林医院关于医院新闻中心智慧医疗院务公开科研教学党群工作招标采购
新闻动态

国内首例!榆林市第二医院骨科医院关节镜微创技术获得新突破

作者:yley文章来源:榆林市第二医院发布时间:2020/9/4 18:23:00阅读:5410

日前,榆林市第二医院骨科医院二病区独立完成了全国首例“关节镜下经三后内侧入路置钉治疗后交叉韧带(PCL)胫骨止点撕脱骨折手术”,该手术采用关节镜微创技术取代传统的切开手术,从骨折块的复位到植入空心钉,全程微创。据权威的科技查新结果显示,目前国内还未有应用关节镜技术经三后内侧入路治疗PCL胫骨止点的临床报告,此次手术为全国首例。

2019年11月下旬,一位在榆林打工的外地患者因下楼梯不慎跌倒致右膝后交叉韧带胫骨止点撕脱骨折,家人经多方打听和上网查询,决定来榆林市第二医院骨科医院寻求治疗。

CT提示右膝后交叉韧带胫骨止点撕脱骨折

接诊该患者后,榆林市第二医院骨科医院常务副院长贺加明带领运动医学组主治医师胡海涛及科室其他医生进行了充分的术前讨论,在与患者及其家属充分沟通后,决定为其实施——关节镜下经三后内侧入路置钉治疗后交叉韧带胫骨止点撕脱骨折手术。

关节镜下在后交叉韧带胫骨止点撕脱骨折块上植入2枚空心螺钉

为了保证手术的顺利开展,胡海涛主治医师前期做了大量准备工作,并根据患者伤情及手术方案需要,自主研发了后交叉韧带胫骨止点撕脱骨折复位器,大大简化了手术过程,并缩短了手术时间。

术后复查右膝关节CT及三维重建,提示骨折能够达到解剖复位,内固定位置合适

在贺加明副院长的指导下,胡海涛主治医师对该患者实施“关节镜下经三后内侧入路置钉治疗后交叉韧带胫骨止点撕脱骨折手术”,手术按计划顺利完成,术中几乎没有出血,从骨折块的显露、复位到固定,实现全程微创。

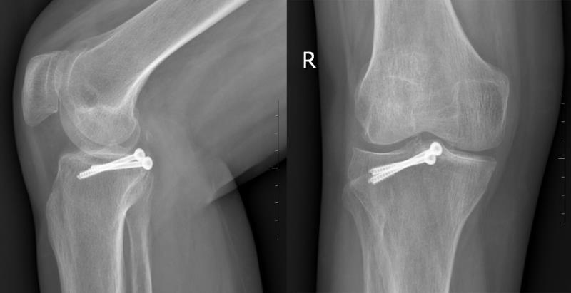
术后3月复查X线片提示骨折达到骨愈合

术后,患者右膝关节伸直位固定1个月后,在支具保护下逐渐负重行走,术后8周便去除支具完全负重行走。术后3个月复查,右膝关节X线片检查提示右膝后交叉韧带止点撕脱骨折达到骨愈合,右膝关节功能各项指标接近术前,大限度的恢复了患者右膝关节功能。经过8个月的随访,患者及其家属对手术效果非常满意,取得了良好的临床效果。

传统手术与关节镜下微创手术刀口对比

该手术与传统的切开手术相比,创伤小,并发症少,技术优势明显。截止目前,榆林市第二医院骨科医院共完成该项目手术7例,均取得了良好的临床效果。

医师简介
胡海涛

主治医师,毕业于第四军医大学,专业硕士,目前主要从事运动医学工作,在2019年度中华医学会第21届骨科学术会议做大会发言;在2019年度第12届中国骨科医师年会上做壁报交流和Air-table展示各一次;在《中华关节外科杂志》发表论文2篇。在2018年度的陕西省骨科年会上做大会发言。在国内首次提出关节镜下经双后内侧入路治疗腘窝处滑膜软骨瘤病。在腘窝囊肿和前后交叉韧带胫骨止点撕脱骨折关节镜下微创治疗达到国内先进水平。连续2年获得榆林市第二医院年度新技术新项目一等奖,目前能够规范开展各类膝关节和肩关节镜手术,年关节镜手术量超过100例。