欢迎光临西安交通大学第一附属医院榆林医院网站!
总院区榆林医院关于医院新闻中心智慧医疗院务公开科研教学党群工作招标采购
新闻动态

榆林二院脑科医院多学科联合急诊取栓,再创生命奇迹

作者:yley文章来源:榆林市第二医院发布时间:2021/1/7 19:19:00阅读:3774

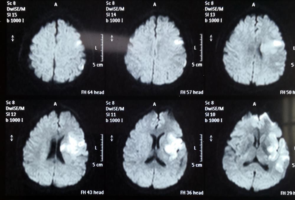
2020年12月14日上午9点左右,59岁的胡某在家中突然昏迷,由120送至榆林二院急诊,入院时患者神志模糊,四肢无法活动,不能言语。急诊行头颅DWI+MRA检查提示:左侧大脑半球新发大面积梗死,左侧大脑中动脉闭塞。

术前头颅DWI

DSA提示左侧大脑中动脉M1段闭塞


在业内有句话:“时间就是大脑” ,对于脑卒中患者的抢救,时间是重要的,分分秒秒都直接影响大脑的病变速度。全脑一旦血供中断,6秒内神经细胞代谢受影响,10~15秒意识开始丧失 ,脑梗死发生后 ,每分钟约有190万个脑细胞死亡,持续5分钟以上则脑细胞发生不可逆的伤害,造成致残、致死的严重后果。一旦耽误黄金救治时间,治疗效果会大打折扣。

脑卒中发病后,快速开通闭塞血管是目前已被验证为有效的治疗方式,能够大程度挽救尚未坏死的脑组织,降低死亡率和致残率。目前,治疗脑梗死主要有溶栓和取栓两种方式。其中,静脉溶栓的黄金抢救时间是4.5个小时以内,而机械取栓有相对较长的时间窗,即发病到开始取栓的时间段,好在6小时内完成,这样才能获得好的治疗效果。

经查,患者胡某梗死面积已超大脑中动脉1/3供血区,有静脉溶栓禁忌。为了挽救患者,为她赢得黄金抢救时间内的手术机会,榆林二院神经介入纪文军博士团队立即决定为患者实施急诊取栓术。

DSA提示左侧大脑中动脉完全再通

术后头颅MRA提示左侧大脑中动脉显影良好

经过紧张救治,纪文军博士团队成功在40分钟之内顺利取出血栓,打通血管梗塞部位,挽救了患者的生命和神经功能。因抢救及时,术后胡某恢复良好,神志清醒,肢体肌力已基本恢复正常,宣告了本次手术圆满成功。

纪文军主任提示,脑卒中是导致人类致残和致死的主要疾病,急性缺血性卒中(急性脑梗死)约占全部卒中的80%,治疗的关键在于尽早开通阻塞血管,挽救缺血半暗带。目前被证实有效的早期血管再通的治疗方法主要是4.5小时内静脉rt-PA溶栓和血管内取栓治疗,静脉溶栓有严格的4.5小时时间限定,而血管内治疗经过评估,部分患者时间可以延长至24小时,甚至更长。