2018年,榆林市委、市政府提出“专科联盟建设”医改战略,榆林二院与被誉为“西部骨科航母”的西安市红会医院展开战略协作,加盟陕西省骨科医疗集团,成立西安市红会医院榆林骨科诊疗中心,并将原榆林市骨科医院并入榆林二院重组新的榆林市骨科医院,学科细化分为三个病区多个亚专业组。从人才、技术、学术、管理等全方位、高层次进行帮建,着力打造陕甘宁蒙晋交界“骨科旗舰”。目前已建成脊柱外科、关节外科、创伤骨科、足踝外科、小儿骨科等亚专科。
2020年,榆林二院骨科医院成为“陕西省儿童骨骼畸形与损伤疾病临床医学研究中心”核心单位,骨科医院一病区通过选派业务骨干至联盟医院西安红会医院进修学习小儿骨科专业,现大量开展小儿长骨骨折闭合复位弹性髓内针内固定术、肱骨髁上骨折、肱骨外髁骨折的闭合复位克氏针固定术以及骨折后畸形、先天性畸形及发育性畸形的矫正手术。
榆林二院骨科医院小儿骨科亚专业组填补了市内诊疗领域空白,是区域内率先开展15岁以下儿童骨与关节疾病的专业团队,小儿骨科专业组的正式开诊,不仅使我院骨科医院学科建设迈上新台阶,也使榆林市小儿骨科患者在家门口就能接受到专业的治疗。
小儿骨科专业组成员曾多次在西安红会医院小儿骨科,西京医院小儿骨科进修学习,可开展各年龄、不同类型发育性髋关节脱位以及髋关节发育不良的系列化、个性化治疗;不同年龄儿童股骨头缺血性坏死(Legg-Calve-Perthes病)的保守与手术治疗;股骨头骨骺滑脱的手术治疗;不同年龄先天性马蹄内翻足以及其他各种足部畸形的石膏矫形和手术矫正;骨折后继发生长畸形以及骨折不愈合的治疗;各种类型的下肢成角畸形(O型腿和X型腿)的矫形和下肢不等长的骨延长术;儿童骨良性肿瘤病变的治疗;严重创伤多发骨折的综合救治;特别擅长儿童四肢骨干骨折的闭合复位弹性髓内针固定技术、儿童肱骨髁上骨折的闭合复位克氏针固定技术、累及骨骺骨折的微创复位内固定技术以及儿童各部位运动损伤的治疗。
典型病例一
儿童股骨干骨折的微创弹性髓针固定技术:

儿童股骨干骨折的微创弹性髓针固定技术(术后伤口外观仅缝合两针)
典型病例二
儿童前臂双骨折闭合复位弹性髓内针内固定术
儿童前臂双骨折闭合复位弹性髓内针内固定术(术后伤口外观仅缝合1针)
典型病例三
肱骨髁上骨折闭合复位交叉克氏针内固定术
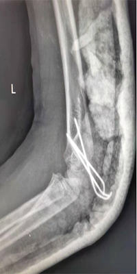
典型病例四
肱骨外髁骨折闭合复位克氏针内固定术