欢迎光临西安交通大学第一附属医院榆林医院网站!
总院区榆林医院关于医院新闻中心智慧医疗院务公开科研教学党群工作招标采购
新闻动态

【国家区域医疗中心·名医在身边】开颅精准拆弹,神经外科二病区成功挽救患者生命

作者:宣传教育科文章来源:西安交大一附院榆林医院发布时间:2024/4/9 9:01:00阅读:2370

近日,西安交大一附院榆林医院脑科医院神经外科二病区在纪文军主任医师带领下,成功为一位破裂前交通动脉瘤患者精准开颅夹闭动脉瘤,挽救了患者生命。术中,动脉瘤精准夹闭,周围穿支血管保护完好,载瘤动脉通畅,经精心治疗及护理,患者从入院时的浅昏迷状态恢复至出院时的完全正常状态,无遗留任何神经功能障碍。该项手术圆满成功标志我院神经外科精准夹闭颅内动脉瘤技术上了一个新的台阶。

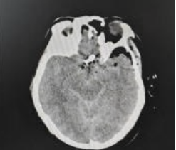
将近40岁的患者小刘(化名)因“突发意识不清2小时”急诊送到我院,患者来院时已陷入昏迷,且频繁恶心、呕吐,纪文军主任医师接诊后,考虑患者急性脑卒中可能,迅速指挥开通急诊卒中绿色通道,急诊完善头颅CT检查提示:蛛网膜下腔出血,考虑为颅内动脉瘤破裂所致。

术前CT提示蛛网膜下腔出血

术前DSA提示前交通动脉瘤

得知病情后,小刘的家属家属陷入极度焦虑中。“我弟弟还年轻,我们也怕留下啥后遗症影响以后的生活。”小刘的姐姐说。在了解到纪文军主任是陕北地区脑血管病的权威专家后,家属的心情突然豁然开朗。“我们紧急打问了一下,都说纪文军主任技术扛硬,感觉一下就不一样了,当时就觉得我弟弟这下有救了,我们也把人送对地方了。”小刘的姐姐说。纪文军主任医师耐心细致地向患者家属告知病情及治疗方案,强调一定会全力以赴,挽救患者年轻的生命。

 迅速完善术前检查后,急诊行全脑血管造影检查提示前交通动脉瘤。虽然大多数前交通动脉瘤可通过神经介入栓塞微创处理,但此患者动脉瘤微小,且有子瘤,累及三支分支血管,栓塞术中动脉瘤破裂和缺血的风险极大,开颅显微镜下夹闭颅内动脉瘤是优选择。

 制定好手术方案后,在纪文军主任医师、杜彦挺副主任医师、张伟副主任医师、李涛副主任医师及全科室医护人员的通力合作下,通过近4个小时的努力,为患者精准夹闭颅内动脉瘤。

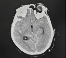
术后头颅CT

术后DSA提示动脉瘤完全夹闭

术后第二天,患者完全清醒,言语流利,问答切题,四肢活动良好,手术圆满成功。术后复查脑血管造影提示:动脉瘤夹闭完全,载瘤动脉通畅,侧支血管保护完好。

 经神经外科二病区医护团队的精心治疗和护理,小刘恢复良好,无遗留任何神经功能障碍,目前已康复出院。

 颅内动脉瘤是指脑动脉壁的局限性囊状突起,被称为“颅内炸弹”。颅内动脉瘤一旦破裂出血,致死和致残率极高,临床表现为蛛网膜下腔出血,发病急剧,患者有突发的剧烈头痛,形容如“头要炸开”,频繁呕吐,大汗淋漓,颈强直等,也可能出现肢体感觉和运动障碍、失语,甚至昏迷或者呼吸心跳骤停。部分患者出血前有劳累,情绪激动等诱因,也有的无明显诱因或在睡眠中发病。全脑血管造影(DSA)是诊断颅内动脉瘤的金标准。颅内动脉瘤一旦破裂后,应尽早治疗,目前有开颅夹闭和神经介入栓塞两种方法,具体采用哪种方法需要主诊医师根据患者的病情和诊疗能力综合判断。

专家简介

  纪文军

医学博士、主任医师、陕西省特聘专家。

博士毕业于首都医科大学附属北京天坛医院,师从我国神经介入奠基人吴中学教授。目前任西安交通大学附属第一医院榆林医院院务委员、脑科医院院长、神经外科二病区主任,兼任10多家省级以上学会的委员和常委,榆林市神经介入学会主委、榆林市脑血管病质量控制中心主任。擅长脑血管病的神经介入诊疗、重型颅脑损伤与脑出血的综合救治、颅内肿瘤的微创治疗等。在区域内率先开展了颅内动脉瘤栓塞、颅内血管狭窄支架植入、颅内大血管闭塞取栓等各类神经介入手术,内镜下垂体瘤切除等神经内镜手术。目前已在Stroke,World Neurosurgery等国际神经外科与脑血管病杂志发表SCI论文15篇;在《中华神经外科杂志》、《中华医学杂志》、《中国微侵袭神经外科杂志》、《中国卒中杂志》等发表核心论文40余篇。参与国家自然科学基金及省部级基金4项,主持陕西省自然科学基金等省级基金项目3项,主持榆林市科技项目3项。获得陕西省科技进步奖2项,榆林市科技进步奖7项。参编著作3部,参译著作3部。获得榆林市青年科技奖、榆林市优秀科技工作者、榆林市有突出贡献专家、榆林市十大杰出青年、榆林市十大科技创新人物等诸多荣誉称号。

 杜彦

西安交通大学第一附属医院榆林医院神经外科二病区副主任,副主任医师,神经外科学硕士,中共党员,神经外科党支部书记。获榆林市科技进步二等奖两项,发明专利3项,发表论文10余篇,获得榆林市第二届“美医生”称号。现任中华医学会神经外科分会委员,陕西省神经外科分会委员,榆林市微创神经外科学会秘书长等。

能熟练完成颅内肿瘤如脑胶质瘤、脑膜瘤、垂体瘤、颅咽管瘤、听神经瘤及椎管内脊髓内、外肿瘤切除术。熟练完成先天性颅脑疾病如小脑扁桃体下疝、先天性颅骨畸形、脑积水分流等手术。特别擅长重型、特重型颅脑损伤、各类脑出血及神经外科常见急危重症的抢救和手术。

  张伟 

副主任医师,硕士研究生;本科毕业于延安大学医学院,硕士毕业于新疆医科大学;陕西省神经外科学会委员,陕西省医学传播学会神经介入专委会委员,榆林市微创神经外科学会常务委员,榆林市卒中学会委员。2020年在北京天坛医院进修学习。擅长脑胶质瘤、脑膜瘤、垂体瘤等颅内肿瘤疾病,重症颅脑外伤、脑出血、脑血管病,脑积水等神经外科疾病的诊治,擅长经鼻及经颅神经内镜应用。在国内核心期刊发表专业文章6篇。

  

李涛

上一篇:【国家区域医疗中心·名医在身边】西安交大一附院榆林医院胸外科成功为一高龄患者实施肺肿瘤切除术